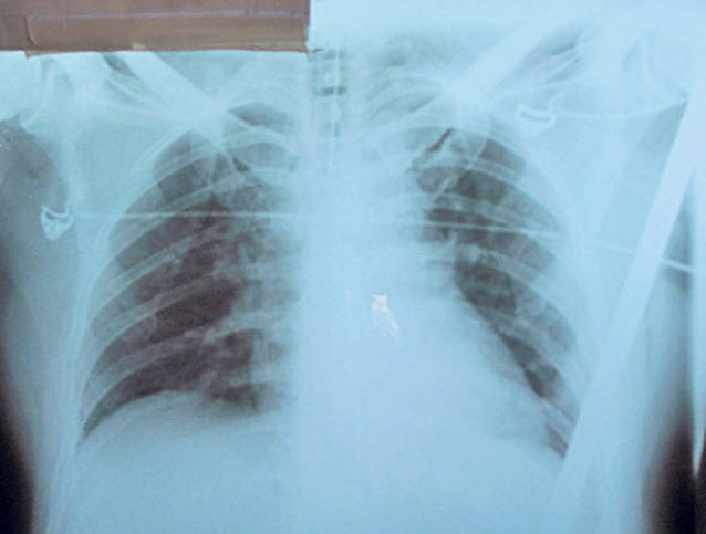
Omul le-a povestit medicilor că, zilele trecute, a vrut să cureţe fructele uscate căzute pe casă, însă a căzut de pe acoperiş chiar într-o bucată de fier pe care o folosea pentru a sprijini legumele din curte.
“Bucata de fier i-a provocat o plagă, intrarea fiind în zona inghinală dreaptă, aproape de testicul, şi ieşirea, la axilă. Fierul i-a străpuns stomacul şi intestinele, a trecut pe lângă vezica urinară, plămân şi la doar câţiva centimetri de inimă. A avut norocul să nu îi fie perforat cordul, altfel nu se mai putea face nimic. Intervenţia a fost extrem de dificilă, şase ore s-a stat în sala de operaţie şi a intervenit o echipă complexă de chirurgiavând mai multe specializări”, a declarat purtătorul de cuvânt al Spitalului de Urgenţă Galaţi, dr. Lucica Grigorică.
Pacientul este acum în afara oricărui pericol, însă medicii îl monitorizează în continuare pentru a nu apărea vreo infecţie din cauza fierului care i-a străpuns trupul.
Ţeapa i-a străpuns tot pieptul bărbatului

Ați sesizat o eroare într-un articol din Libertatea? Ne puteți scrie pe adresa de email eroare@libertatea.ro
:contrast(8):quality(75)/https://www.libertatea.ro/wp-content/uploads/feed/images/280_c3238c5b5c8995ae0d91f4c76b0619dd.jpg)
:contrast(8):quality(75)/https://www.libertatea.ro/wp-content/uploads/feed/images/280_3b56d642b166819d584cd012c00207ae.jpg)
:contrast(8):quality(75)/https://www.libertatea.ro/wp-content/uploads/feed/images/280_551a9984090b3e3469f864f0375e40cd.jpg)
:quality(75)/https://www.libertatea.ro/wp-content/uploads/feed/images/280_77b055df13f1704bc1b7fc2360d6b958.png)
:contrast(8):quality(75)/https://www.libertatea.ro/wp-content/uploads/feed/images/280_c3d03d1585ec819282261eb6b51e8f25.jpg)
:contrast(8):quality(75)/https://www.libertatea.ro/wp-content/uploads/feed/images/280_d69bce96ad5a2a3b509c2bc4ae5c7e70.jpg)
:quality(75)/https://www.libertatea.ro/wp-content/uploads/feed/images/276_2588eadf089e79bd27fc5f1747fb95e3.png)
:contrast(8):quality(75)/https://www.libertatea.ro/wp-content/uploads/feed/images/206_503e6fb43c823c6f2561450018e6b08d.jpg)
:contrast(8):quality(75)/https://www.libertatea.ro/wp-content/uploads/feed/images/278_abc09b14750319841b182f82c686631f.webp)
:contrast(8):quality(75)/https://www.libertatea.ro/wp-content/uploads/feed/images/50_3f76e8204d7e7c95431300dabc9a4abc.jpg)
:contrast(8):quality(75)/https://www.libertatea.ro/wp-content/uploads/feed/images/281_a22b1443b905f56da42292528d1fd6ce.jpg)
:contrast(8):quality(75)/https://www.libertatea.ro/wp-content/uploads/feed/images/153_54a945b7bcc4a42d382684dd041848ec.webp)
:contrast(8):quality(75)/https://www.libertatea.ro/wp-content/uploads/feed/images/233_cee950251ea97f558fb09cee14329f72.jpg)
:contrast(8):quality(75)/https://www.libertatea.ro/wp-content/uploads/feed/images/253_61d2b905d5894b9dbf0d9e6c15b80fd8.jpg)
:contrast(8):quality(75)/https://www.libertatea.ro/wp-content/uploads/feed/images/197_4a22f50844777c07997f2950c4af9748.jpg)
:contrast(8):quality(75)/https://www.libertatea.ro/wp-content/uploads/feed/images/284_3b2574df4e02c09055a505fcc4cd07b2.jpg)
:contrast(8):quality(75)/https://www.libertatea.ro/wp-content/uploads/feed/images/275_fb704b7cf0182c5105e44157d1702fd7.jpeg)
:contrast(8):quality(75)/https://www.libertatea.ro/wp-content/uploads/feed/images/274_c16ed8057f2059e1c6b1cd73713e6afc.jpg)
:contrast(8):quality(75)/https://www.libertatea.ro/wp-content/uploads/feed/images/274_2c79aa4abf2331e1563b0777489410ae.jpg)
:contrast(8):quality(75)/https://www.libertatea.ro/wp-content/uploads/feed/images/284_c0a9030cec19003c052d712c38509c40.jpg)
:contrast(8):quality(75)/https://www.libertatea.ro/wp-content/uploads/feed/images/16_4e6316baf887b0a41fc8bf4f5b3a38ea.jpg)
Politic
:contrast(8):quality(75)/https://www.libertatea.ro/wp-content/uploads/feed/images/289_391c04ea0ab8b5295b6649706cd2841e.jpg)
:contrast(8):quality(75)/https://www.libertatea.ro/wp-content/uploads/feed/images/206_247f6ae8006344c560869e044200a944.jpg)
:contrast(8):quality(75)/https://www.libertatea.ro/wp-content/uploads/feed/images/255_c346f3b4d749078c98f6777766050f66.webp)
:contrast(8):quality(75)/https://static4.libertatea.ro/wp-content/uploads/2013/07/6-7-teapa.jpg)
:contrast(8):quality(75)/https://www.libertatea.ro/wp-content/uploads/feed/images/204_24166bf6ea172d5ee7fc04ce91a5567d.jpg)
:contrast(8):quality(75)/https://www.libertatea.ro/wp-content/uploads/feed/images/204_15e4e9003fdddc998b7a32e41809d747.jpg)
:contrast(8):quality(75)/https://static4.libertatea.ro/wp-content/uploads/2026/03/fosti-sefi-dna-retinuti.jpg)
:contrast(8):quality(75)/https://static4.libertatea.ro/wp-content/uploads/2026/04/lei-romanesti-bani.jpg)
:contrast(8):quality(75)/https://www.libertatea.ro/wp-content/uploads/feed/images/287_f70b657aa43466f1a00ea708cad571df.jpg)
:contrast(8):quality(75)/https://www.libertatea.ro/wp-content/uploads/feed/images/287_c47018bca1700db6f90059aca5956274.jpg)
:contrast(8):quality(75)/https://static4.libertatea.ro/wp-content/uploads/2026/04/michele-morrone-principala.jpg)
:contrast(8):quality(75)/https://static4.libertatea.ro/wp-content/uploads/2026/04/vedetele-din-romania-care-locuiesc-cu-chirie--cum-arata-apartamentele-pentru-care-platesc-lunar.jpg)
:contrast(8):quality(75)/https://www.libertatea.ro/wp-content/uploads/feed/images/172_7be60c28a87bd6f4f0be919cd2538db1.jpg)
:contrast(8):quality(75)/https://www.libertatea.ro/wp-content/uploads/feed/images/172_dfb2b45b6c232a1e964cd0b901445c05.jpg)
:contrast(8):quality(75)/https://www.libertatea.ro/wp-content/uploads/feed/images/179_3a65ef23db354ac092f7c2c1b42705e9.jpg)
:quality(75)/https://www.libertatea.ro/wp-content/uploads/feed/images/179_246042b34857f66661de2bdd7c770f01.png)
:contrast(8):quality(75)/https://static4.libertatea.ro/wp-content/uploads/2025/11/sorin-grindeanu-psd-cristian-otopeanu-5.jpg)
:contrast(8):quality(75)/https://static4.libertatea.ro/wp-content/uploads/2026/04/nicusor-dan-pnl-cotroceni-6-e1776843861412.jpeg)
:quality(75)/https://static4.libertatea.ro/wp-content/uploads/2024/04/ce-nume-se-sarbatoresc-de-sfantul-gheorghe.png)
:contrast(8):quality(75)/https://static4.libertatea.ro/wp-content/uploads/2026/04/femeie-a-gasit-bani-sub-pat-germania.jpg)
:contrast(8):quality(75)/https://static4.libertatea.ro/wp-content/uploads/2026/04/nume-de-baieti-2026.jpg)
:contrast(8):quality(75)/https://static4.libertatea.ro/wp-content/uploads/2026/04/mesaje-de-sfantul-gheorghe.jpg)
:contrast(8):quality(75)/https://static4.libertatea.ro/wp-content/uploads/2024/04/sf-gheorghe-in-2024-traditii-1.jpg)
:contrast(8):quality(75)/https://static4.libertatea.ro/wp-content/uploads/2020/04/cine-a-fost-sfantul-gheorghe.jpg)
:contrast(8):quality(75)/https://static4.libertatea.ro/wp-content/uploads/2026/04/de-ce-semnul-stop-este-octogonal.jpg)
:contrast(8):quality(75)/https://static4.libertatea.ro/wp-content/uploads/2026/04/nume-de-fete-2026.jpg)
:contrast(8):quality(75)/https://static4.libertatea.ro/wp-content/uploads/2026/04/uleiul-de-ricin.jpg)
:contrast(8):quality(75)/https://static4.libertatea.ro/wp-content/uploads/2026/04/traian-larionesi-cetatean-de-onoare-bistrita-nasaud.jpg)
:contrast(8):quality(75)/https://static4.libertatea.ro/wp-content/uploads/2026/04/autobuze-nu-mai-opresc-statia-sosiri-aeroport-henri-coanda-lucrari-terminal-e1776855687584.jpg)
:contrast(8):quality(75)/https://static4.libertatea.ro/wp-content/uploads/2026/04/arme-de-asalt-americane-de-ultima-generatie-in-dotarea-armatei-romaniei-pentru-gigantul-sig-sauer-romania-urmeaza-sa-fie-varful-de-lance-pentru-intreaga-europa-213147.jpg)
:contrast(8):quality(75)/https://static4.libertatea.ro/wp-content/uploads/2026/04/vreme-rece-bruma-ceata.jpg)
:quality(75)/https://static4.libertatea.ro/wp-content/uploads/2026/04/sorin-grindeanu-interviu-la-rra.png)
:contrast(8):quality(75)/https://static4.libertatea.ro/wp-content/uploads/2026/04/reciclare-doza-aluminiu-aparat.jpg)
:contrast(8):quality(75)/https://static4.libertatea.ro/wp-content/uploads/2026/04/vladimir-putin-rusia-shutterstock1430366228-copy.jpg)
:contrast(8):quality(75)/https://static4.libertatea.ro/wp-content/uploads/2026/04/nicusor-dan-declaratii-ase-1.jpg)
Loghează-te în contul tău pentru a adăuga comentarii și a te alătura dialogului.