Părinţii Ionelei Herghelegiu au mers, ieri, la morgă pentru a ridica trupul fetiţei decedate. Între timp, rezultatele autopsiei au arătat că Ionela a murit din cauza unei bronhopneumonii, însă abia astăzi, probele trimise la Institutul “Cantacuzino” din Capitală vor confirma sau nu prezen-ţa virusului A(H1N1). Tot ieri, o verişoară a Ionelei, în vârstă de doar patru luni, a fost internată pentru că prezintă simptomele unei gripe. 
În acest timp, două noi cazuri de gripă porcină i-au pus pe gânduri pe medicii din Botoşani. Pacienţii sunt rude cu un bărbat din satul Suliţa, care a murit în urmă cu o săptămână, suspect de gripă porcină. În urma autopsiei, medicii au stabilit că Nicolae Diaconiţa (47 de ani) a murit din cauza unei pneumonii. “Nouă nu ne-au spus nici până acum dacă a avut sau nu porcină”, povesteşte mama bărbatului, Elena Diaconiţa. “După moartea lui Nicolae ne-au testat pe toţi, iar duminică seara au venit câţiva poliţişti şi o ambulanţă şi i-au luat pe celălalt fiu al meu şi o nepoată. Mi-au spus că îi duc la spital, pentru că s-a confirmat gripa”, a menţionat femeia.
Întrebat dacă memembrii familiei bărbatului decedat sunt infectaţi cu virusul A(H1N1), directorul medical al DSP Botoşani a spus că “orice e posibil”, menţionând că, în cursul dimineţii de ieri, a primit ordin de la Ministerul Sănătăţii, prin care i se interzice să mai comunice informaţii despre cazurile de gripă, acestea urmând a fi comunicate presei doar de minister, scrie agenţia Newsin.
62 de noi cazuri într-o zi
Ministerul Sănătăţii a anunţat ieri că a fost confirmat un număr de 62 de noi cazuri de gripă porcină, totalul ajungând la 1.397. Cele mai multe îmbolnăviri au fost în Botoşani, unde se află 15 pacienţi. În continuare, comunicatele Ministerului Sănătăţii nu pomenesc de nici un deces provocat de gripa porcină, nici măcar de cele din străinătate, care au fost confirmate de alte ţări, sau de moartea suspectă a fetiţei de doi ani din Botoşani.
Americanii sunt vaccinaţi în maşini
Americanii sunt extrem de speriaţi de viteza de răspândire a virusului şi tot mai mulţi vor să se vaccineze.

Ca să poată face faţă valului mare de oameni, cadrele medicale au organizat sistemul de vaccinare “Drive Thru”, cunoscut până acum doar de la McDonalds, unde cetăţenii vin cu maşina, primesc ce comandă stând la volan, după care pleacă mai departe. Aşa şi în cazul vaccinărilor, oamenii vin cu automobilul, iar cadrele medicale îi injectează fără ca aceştia să coboare.
Un meci de baschet a fost amânat
Partida dintre Gaz Metan Mediaş şi Rabotnicki Skopje, contând pentru Liga Balcanică la baschet, nu se va mai disputa, macedonenii solicitând acest lucru după ce au anunţat că în lotul lor există cazuri de gripă porcină. Meciul ar fi trebuit să se dispute astăzi, în România, dar a fost amânat pentru o dată ce va fi stabilită ulterior.
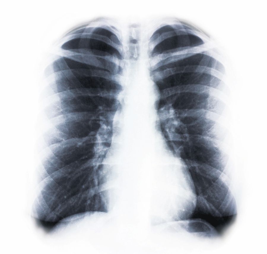
Plămânii victimelor arată ca arşi
Virusul ce a provocat moartea a sute de oameni în Ucraina ar putea fi unul mutant, susţin cercetătorii britanici care analizează în prezent tulpina virală porcină ce a declanşat epidemia din această ţară. Ei spun că germenul din Ucraina ar fi unul mult mai virulent, care atacă în special plămânii, astfel încât oamenii sunt diagnosticaţi cu pneumonie, însă autopsiile au relevat că plămânii victimelor arătau ca şi cum ar fi fost carbonizaţi.
Un doctor din vestul Ucrainei a relatat pentru ziarul britanic Daily Mail despre efectele alarmante ale virusului.
“Am făcut necropsii pe două victime şi am descoperit că plămânii lor erau negri precum cărbunele. Arătau ca şi cum ar fi fost arşi. Este înspăimântător”, a afirmat medicul a cărui identitate nu a fost făcută publică. În Ucraina au murit deja 189 de oameni şi peste un milion s-au îmbolnăvit de virusul A(H1N1), iar preşedintele Viktor Iuşcenko a apelat la Organizaţia Mondială a Sănătăţii pentru a identifica noul virus, mult mai agresiv. Rusia, Slovacia, Polonia, Ungaria şi România au instituit deja controale asupra cetăţenilor ucrainieni care intră pe teritoriul lor.
„Mi-a curs nasul doar un pic”
Printre bolnavii de gripă porcină, diagnosticaţi săptămâna trecută, s-a numărat şi şeful Unităţii de Primiri Urgenţe, a Spitalului Judeţean Botoşani. Medicul a povestit însă că nu a bănuit nici o clipă că a fost bolnav şi că, probabil, dacă nu exista un caz de îmbolnăvire în spital ca să-şi facă analizele, nici nu ar fi bănuit că a contractat virusul A(H1N1).
Analizele au fost prelevate de la tot personalul spitalului imediat după ce Institutul “Cantacuzino” din Bucureşti a confirmat prezenţa virusului porcin la unul dintre brancardierii din unitate. Activitatea a continuat însă, fără ca altcineva să se mai simtă rău. Spre surprinderea tuturor, virusul a fost confirmat chiar şi la medicul şef.
“Sistemul meu imunitar a fost puternic şi nu am simţit aproape nimic. Mi-a curs puţin nasul şi am simţit un pic de febră, în rest totul a fost bine. Am luat câteva plicuri de Fervex şi am băut mai multe ceaiuri. Apoi am fost sunat de Direcţia pentru Sănătate Publică şi mi s-a spus că am fost confirmat cu virusul gripal, aşa că trebuie să stau în casă şapte zile”, a povestit Petre Rădăuceanu, medic şef al UPU.
:contrast(8):quality(75)/https://www.libertatea.ro/wp-content/uploads/feed/images/280_e8d1a8e8482d6be7c880d89ad088cdd4.jpg)
:contrast(8):quality(75)/https://www.libertatea.ro/wp-content/uploads/feed/images/280_cba17ebece973c607b4a6c5d7326fefd.jpg)
:contrast(8):quality(75)/https://www.libertatea.ro/wp-content/uploads/feed/images/280_4af4222442fe10e188cb8af4bfe72d25.jpg)
:contrast(8):quality(75)/https://www.libertatea.ro/wp-content/uploads/feed/images/280_d26dd280db47f6c527ebb1812be88cdd.jpg)
:contrast(8):quality(75)/https://www.libertatea.ro/wp-content/uploads/feed/images/280_3437bc73621e88857a38953bd7b87e4f.jpg)
:contrast(8):quality(75)/https://www.libertatea.ro/wp-content/uploads/feed/images/280_0c491f402d1f3db96545a36adc3c1434.jpg)
:quality(75)/https://www.libertatea.ro/wp-content/uploads/feed/images/276_fcd1d384073224ec2199f1869361ef02.png)
:contrast(8):quality(75)/https://www.libertatea.ro/wp-content/uploads/feed/images/206_cdd6c3f8d39645d4c012233d453b9fd8.jpg)
:contrast(8):quality(75)/https://www.libertatea.ro/wp-content/uploads/feed/images/278_2dc662106ae0fd2996003075f7b5dc72.jpeg)
:contrast(8):quality(75)/https://www.libertatea.ro/wp-content/uploads/feed/images/50_027bc5e0884cd5f20401d1f653addb72.jpg)
:contrast(8):quality(75)/https://www.libertatea.ro/wp-content/uploads/feed/images/281_a22b1443b905f56da42292528d1fd6ce.jpg)
:contrast(8):quality(75)/https://www.libertatea.ro/wp-content/uploads/feed/images/153_3e6417414184ca71f7023a6872666571.jpg)
:contrast(8):quality(75)/https://www.libertatea.ro/wp-content/uploads/feed/images/233_5cb06e43a186f695d1c40c1e289e4b5e.jpg)
:contrast(8):quality(75)/https://www.libertatea.ro/wp-content/uploads/feed/images/253_8e4a2685e8d00186c3b07fd31dceac92.jpg)
:contrast(8):quality(75)/https://www.libertatea.ro/wp-content/uploads/feed/images/197_239d310aaadf51a5e23bd4f4a1bd328e.jpg)
:contrast(8):quality(75)/https://www.libertatea.ro/wp-content/uploads/feed/images/284_9a32a35bf37f718e820725f4f3ce1836.jpg)
:contrast(8):quality(75)/https://www.libertatea.ro/wp-content/uploads/feed/images/275_7f0b16ebab2b1809b31ac690110ef3c9.jpg)
:contrast(8):quality(75)/https://www.libertatea.ro/wp-content/uploads/feed/images/274_2b0b0d6a5c157124cf837250547e03ca.jpg)
:contrast(8):quality(75)/https://www.libertatea.ro/wp-content/uploads/feed/images/274_c570666b2217e7eaeaddaa8a4d7863b1.jpg)
:contrast(8):quality(75)/https://www.libertatea.ro/wp-content/uploads/feed/images/288_745d5002766da97c45b2f3399408edbb.jpg)
:contrast(8):quality(75)/https://www.libertatea.ro/wp-content/uploads/feed/images/16_4b49ff7afbce7a5dc7ed42dbecded4d6.jpg)
:contrast(8):quality(75)/https://www.libertatea.ro/wp-content/uploads/feed/images/289_44d867c5699b60885e9acc72bfea85aa.jpg)
:contrast(8):quality(75)/https://www.libertatea.ro/wp-content/uploads/feed/images/206_b7839103e33d841718ba419d1e7bd7be.jpeg)
:contrast(8):quality(75)/https://www.libertatea.ro/wp-content/uploads/feed/images/255_082288d6afe7b45890f976d0f3ac9623.webp)
:contrast(8):quality(75)/https://static4.libertatea.ro/wp-content/uploads/2009/11/4219-201169-extraterestir.jpg)
:contrast(8):quality(75)/https://www.libertatea.ro/wp-content/uploads/feed/images/204_e80027ef4778596bbded749cfb1ebc99.jpg)
:contrast(8):quality(75)/https://www.libertatea.ro/wp-content/uploads/feed/images/204_0a3a2d473c1b3c3debcf54988c121712.jpg)
:contrast(8):quality(75)/https://static4.libertatea.ro/wp-content/uploads/2026/04/nicusor-dan-1-1.jpg)
:contrast(8):quality(75)/https://static4.libertatea.ro/wp-content/uploads/2026/04/cum-ocolesc-primariile-reforma-lui-bolojan--foto-agerpres-facebook.jpg)
:contrast(8):quality(75)/https://www.libertatea.ro/wp-content/uploads/feed/images/287_8ce43bdb36ce696752bba1db10ab1739.jpeg)
:contrast(8):quality(75)/https://www.libertatea.ro/wp-content/uploads/feed/images/287_4ca2a90a6843f260d687d82e63902556.jpg)
:contrast(8):quality(75)/https://static4.libertatea.ro/wp-content/uploads/2026/04/adelina-pestritu-jason-statham.jpg)
:contrast(8):quality(75)/https://static4.libertatea.ro/wp-content/uploads/2025/08/madalin-ionescu-1.jpg)
:contrast(8):quality(75)/https://www.libertatea.ro/wp-content/uploads/feed/images/172_41bfa6e666e56fe072b6b3f223304899.jpg)
:contrast(8):quality(75)/https://www.libertatea.ro/wp-content/uploads/feed/images/172_cd6ce7149070819a8a9e80b076909123.jpg)
:contrast(8):quality(75)/https://www.libertatea.ro/wp-content/uploads/feed/images/179_3a65ef23db354ac092f7c2c1b42705e9.jpg)
:quality(75)/https://www.libertatea.ro/wp-content/uploads/feed/images/179_246042b34857f66661de2bdd7c770f01.png)
:contrast(8):quality(75)/https://static4.libertatea.ro/wp-content/uploads/2026/04/scandal-in-guvernul-bolojan--florin-barbu-si-alexandru-nazare-se-cearta-pe-motorina-ieftina-pentru-fermieri-si-proiectul-este-blocat--ce-risca-romania-document.jpg)
:contrast(8):quality(75)/https://static4.libertatea.ro/wp-content/uploads/2026/03/ilie-bolojan.jpg)
:contrast(8):quality(75)/https://static4.libertatea.ro/wp-content/uploads/2026/04/sofer-uber-ferrari-250-gto-35-milioane-palm-beach.jpg)
:contrast(8):quality(75)/https://static4.libertatea.ro/wp-content/uploads/2026/04/pasageri-llocuri-avion.jpg)
:contrast(8):quality(75)/https://static4.libertatea.ro/wp-content/uploads/2026/04/portia-de-carte-17-aprilie2--foto-freepik-copy.jpg)
:contrast(8):quality(75)/https://static4.libertatea.ro/wp-content/uploads/2026/04/durere.jpg)
:contrast(8):quality(75)/https://static4.libertatea.ro/wp-content/uploads/2025/06/decese-suspecte-spital-sfantul-pantelimon.jpg)
:contrast(8):quality(75)/https://static4.libertatea.ro/wp-content/uploads/2026/04/izvorul-tamadurii.jpg)
:contrast(8):quality(75)/https://static4.libertatea.ro/wp-content/uploads/2026/04/cum-alegi-paharul-pentru-bauturi.jpg)
:contrast(8):quality(75)/https://static4.libertatea.ro/wp-content/uploads/2026/04/obiceiuri-care-iti-strica-parul-in-timp-ce-dormi.jpg)
:contrast(8):quality(75)/https://static4.libertatea.ro/wp-content/uploads/2026/04/ceai-de-dafin.jpg)
:contrast(8):quality(75)/https://static4.libertatea.ro/wp-content/uploads/2026/04/emisiune-preluata-realitatea-plus-europa-fm.jpg)
:contrast(8):quality(75)/https://static4.libertatea.ro/wp-content/uploads/2026/04/barbat-consulta-acte.jpg)
:contrast(8):quality(75)/https://static4.libertatea.ro/wp-content/uploads/2025/10/ilustratie-ploaie-inquam-photos-scaled-e1776403472321.jpg)
:contrast(8):quality(75)/https://static4.libertatea.ro/wp-content/uploads/2024/09/drona-tulcea-e1776401167402.webp)
:contrast(8):quality(75)/https://static4.libertatea.ro/wp-content/uploads/2026/04/ilie-bolojan-george-simion-hepta8248545-scaled.jpg)
:contrast(8):quality(75)/https://static4.libertatea.ro/wp-content/uploads/2026/04/cel-mai-bun-prieten-shutterstock684415648-copy.jpg)
:contrast(8):quality(75)/https://static4.libertatea.ro/wp-content/uploads/2026/04/sorin-grindeanu-ilie-bolojan-shutterstock2672892819-copy.jpg)
:contrast(8):quality(75)/https://static4.libertatea.ro/wp-content/uploads/2026/03/donald-trump-presedinte-sua-10-4.jpg)
Loghează-te în contul tău pentru a adăuga comentarii și a te alătura dialogului.